Η αναθεώρηση αρθροπλαστικής είναι μια δεύτερη χειρουργική επέμβαση που πραγματοποιείται όταν η αρχική πρόθεση (εμφύτευμα) του ισχίου ή του γόνατος έχει φθαρεί, χαλαρώσει, παρουσιάσει λοίμωξη ή αποτύχει για άλλους λόγους.
Η αναθεώρηση δεν είναι απλή αντικατάσταση, αλλά πιο σύνθετη επέμβαση που απαιτεί ιδιαίτερη εξειδίκευση και προσεκτική προετοιμασία.
Η επέμβαση αναθεώρησης ενδείκνυται σε περιπτώσεις όπως:
Χαλάρωση ή φθορά της πρόθεσης με πόνο και αστάθεια
Λοίμωξη της άρθρωσης μετά από την αρχική αρθροπλαστική
Κατάγματα γύρω από την πρόθεση
Μηχανική αστοχία υλικών (π.χ. σπάσιμο, φθορά πολυαιθυλενίου)
Αλλαγή της ευθυγράμμισης της άρθρωσης ή εξάρθρωση (ιδίως στο ισχίο)
Η διαδικασία περιλαμβάνει:
Αφαίρεση της παλιάς πρόθεσης
Καθαρισμό των ιστών από τυχόν μόλυνση ή ουλώδη ιστό
Ανακατασκευή του οστού (αν υπάρχει οστική απώλεια)
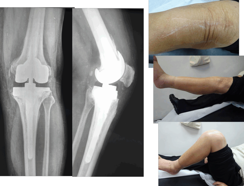
Τοποθέτηση νέας πρόθεσης, ειδικά σχεδιασμένης για αναθεωρήσεις
Οι προθέσεις αναθεώρησης είναι πιο σταθερές, μακρύτερες και συχνά συνδυάζονται με μοσχεύματα ή μεταλλικά ενθέματα.
Η αναθεώρηση αρθροπλαστικής είναι εξειδικευμένη και απαιτεί εμπειρία. Η σωστή επιλογή χειρουργού και κέντρου είναι καθοριστική για την επιτυχία.
